GRK2 kinase activity and cellular localization are tightly regulated by interactions with activated receptors, G-beta and G-gamma subunits, adaptor proteins, phospholipids, caveolin and calmodulin, as well as by phosphorylation. PKC phosphorylation enhances GRK2 activity by promoting its membrane localization and by abolishing the inhibitory association of calmodulin.
推荐稀释比 WB:1/500-1/1000;IHC:1/100-1/200;IF:1/50-1/200

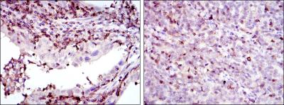
Immunohistochemistry analysis of paraffin-embedded endometrial cancer tissues (left) and cervical cancer tissues (right) using GRK2 (6C1) antibody with DAB staining.High-pressure and temperature Sodium Citrate pH 6.0 was used for antigen retrieval.
Store at 4°C short term. Aliquot and store at -20°C long term. Avoid freeze/thaw cycles.





