A1BG is a plasma glycoprotein of unknown function. It shows sequence similarity to the variable regions of some immunoglobulin supergene family member proteins.A1BG was recently shown to bind cysteine rich secretory protein 3 (CRISP 3) with high affinity, and it has been suggested that A1BG protects against the potentially toxic effects of CRISP 3 in the circulation.
推荐稀释比 WB:1/500-1/1000;IHC:1/50-1/100;ELISA:1/10000

Western blot analysis of A1BG in K562 lysates using A1BG antibody.

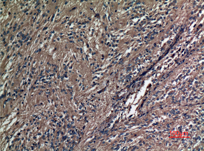
Immunohistochemistry analysis of paraffin-embedded Human ovary using A1BG antibody.High-pressure and temperature Sodium Citrate pH 6.0 was used for antigen retrieval.

Immunohistochemistry analysis of paraffin-embedded Human ovary using A1BG antibody. High-pressure and temperature Sodium Citrate pH 6.0 was used for antigen retrieval.

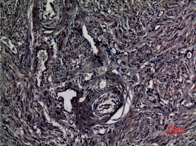
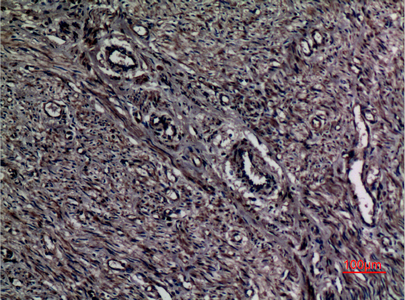
Immunohistochemistry analysis of paraffin-embedded Human uterus using A1BG antibody.High-pressure and temperature Sodium Citrate pH 6.0 was used for antigen retrieval.

Immunohistochemistry analysis of paraffin-embedded Human uterus using A1BG antibody.High-pressure and temperature Sodium Citrate pH 6.0 was used for antigen retrieval.
Store at 4°C short term. Aliquot and store at -20°C long term. Avoid freeze/thaw cycles.





