IL-10 Rabbit pAb
产品介绍
Interleukin-10 (IL-10) is an anti-inflammatory cytokine that is produced by T cells, NK cells, and macrophages. IL-10 initiates signal transduction by binding to a cell surface receptor complex consisting of IL-10 RI and IL-10 RII, leading to the activation of Jak1 and Tyk2 and phosphorylation of Stat3.
产品性质
产品特色
推荐稀释比 WB:1/500-1/1000;IHC:1/50-1/100
应用案例

Western blot analysis of IL-10 in Jurkat lysates using IL-10 antibody.

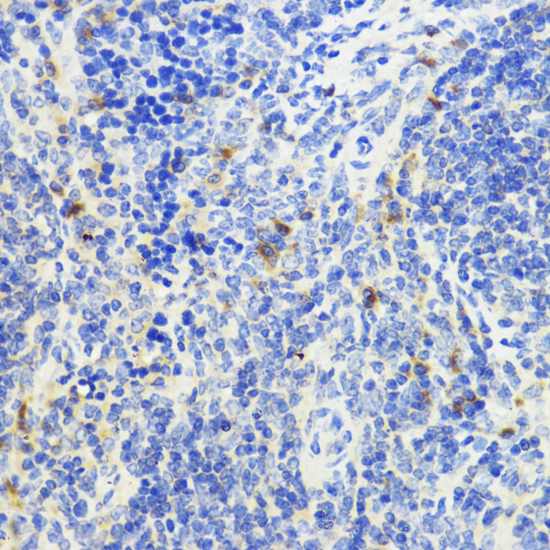
Immunohistochemistry analysis of paraffin-embedded mouse spleen using IL-10 antibody.High-pressure and temperature Sodium Citrate pH 6.0 was used for antigen retrieval.
存储条件
Store at 4°C short term. Aliquot and store at -20°C long term. Avoid freeze/thaw cycles.
COA
联系我们





