Interferon gamma Receptor 1 Rabbit pAb
产品介绍
Receptor for interferon gamma. Two receptors bind one interferon gamma dimer.
产品性质
产品特色
推荐稀释比 WB:1/500-1/1000;IHC:1/50-1/100
应用案例

Western blot analysis of Interferon gamma Receptor 1 in HEPG2 lysates using Interferon gamma Receptor 1 antibody

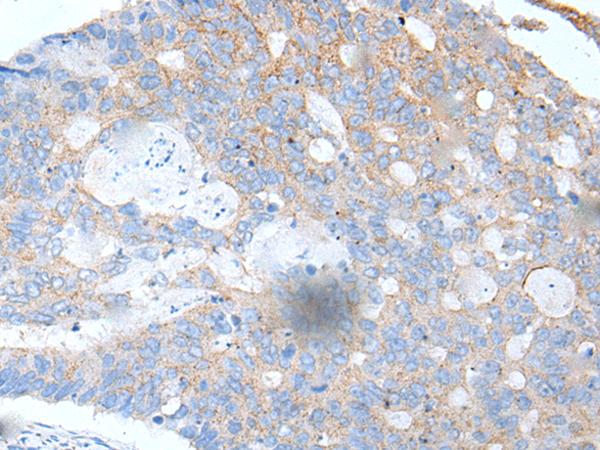
Immunohistochemistry analysis of paraffin-embedded Human colorectal cancer using Interferon gamma Receptor 1 antibody. High-pressure and temperature Sodium Citrate pH 6.0 was used for antigen retrieval.
存储条件
Store at 4°C short term. Aliquot and store at -20°C long term. Avoid freeze/thaw cycles.
COA
联系我们





