GDF9 Rabbit pAb
产品介绍
Growth factors synthesized by ovarian somatic cells directly affect oocyte growth and function. Growth differentiation factor-9 (GDF9) is expressed in oocytes and is thought to be required for ovarian folliculogenesis. GDF9 is a member of the transforming growth factor-beta superfamily.
产品性质
产品特色
推荐稀释比 WB:1/500-1/1000;IHC:1/50-1/100
应用案例

Western blot analysis of GDF9 in Human ovarian cancer lysates using GDF9 antibody

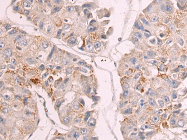
Immunohistochemistry analysis of paraffin-embedded Human liver cancer using GDF9 antibody. High-pressure and temperature Sodium Citrate pH 6.0 was used for antigen retrieval.
存储条件
Store at 4°C short term. Aliquot and store at -20°C long term. Avoid freeze/thaw cycles.
COA
联系我们





