Moesin Rabbit mAb
产品介绍
The ezrin, radixin, and moesin (ERM) proteins function as linkers between the plasma membrane and the actin cytoskeleton and are involved in cell adhesion, membrane ruffling, and microvilli formation. ERM proteins undergo intra or intermolecular interaction between their amino- and carboxy-terminal domains, existing as inactive cytosolic monomers or dimers.
产品性质
产品特色
WB: 1/500-1/1000 IHC: 1/50-1/100 IF: 1/50-1/200 IP: 1/20
应用案例
Immunocytochemistry

Immunocytochemistry analysis of Moesin (green) in A549 using Moesin antibody,and DAPI(blue).
Western

Western blot analysis of Moesin in C6, mouse heart lysates using Moesin antibody.
Western

Western blot analysis of Moesin in A549, MCF-7, 293T, C2C12 lysates using Moesin antibody
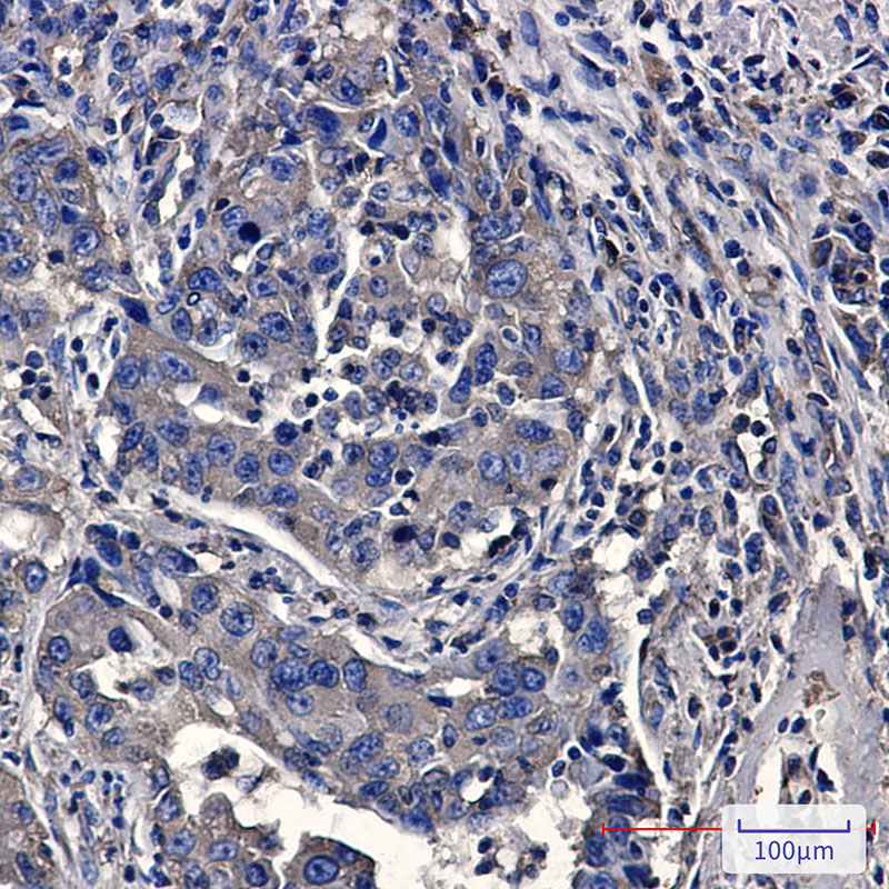
Immunohistochemistry

Immunohistochemistry analysis of paraffin-embedded Human lung cancer using Moesin antibody.High-pressure and temperature Sodium Citrate pH 6.0 was used for antigen retrieval.
存储条件
-15到-25度
COA
联系我们





